发烧后头痛乏力很常见
但如果热退后突然开始
胡言乱语、手舞足蹈
甚至出现奇怪的幻觉
这是不是就有点吓人了
难道是高烧把脑子烧坏了
No!No!No!
这些反常的信号
可能是大脑深处的
胼胝体压部
发生了短暂“故障”......
24岁的小林(化名)因持续6天高烧(最高39.6℃)伴头痛、食欲极差到社区卫生中心就诊。退烧后两天,奇怪的事情发生了!她突然出现了一些异常:四肢不受控制地舞动(不自主运动)、出现亲人被欺负的幻听、将糖果尝成苦味(味觉异常)。小林接受镇静处理后仍烦躁不安,被收入东莞市人民医院神经内科。
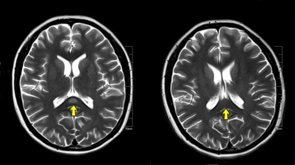
经过头颅磁共振(MRI)检查后发现,其连接大脑左右半球的关键区域——胼胝体压部出现了异常。结合小林“先发热,后出现精神行为异常、不自主运动、幻听和味觉异常”的独特病程,医生诊断她患上了可逆性胼胝体压部病变综合征(RESLES)。

患者治疗前后MRI T2WI影像对比
幸运的是,经过治疗(主要针对可能的诱因和支持治疗),小林的症状迅速改善:不自主运动消失、幻听和味觉异常消失。1周后复查MRI,胼胝体压部的异常信号完全消失,印证了该病“可逆性”的特点。